More Information
Submitted: December 20, 2024 | Approved: January 06, 2025 | Published: January 07, 2025
How to cite this article: Yıldız TS, Şenocak S. Recurrent Pancreatitis Associated with CFTR Heterozygous Mutation. Arch Case Rep. 2025; 9(1): 008-010. Available from: https://dx.doi.org/10.29328/journal.acr.1001121
DOI: 10.29328/journal.acr.1001121
Copyright License: © 2025 Yıldız TS, et al. This is an open access article distributed under the Creative Commons Attribution License, which permits unrestricted use, distribution, and reproduction in any medium, provided the original work is properly cited.
Recurrent Pancreatitis Associated with CFTR Heterozygous Mutation
Tuğçe Şevval Yıldız* and Şeyma Şenocak
Department of Internal Medicine, Recep Tayyip Erdogan University, Rize, Turkey
*Address for Correspondence: Tuğçe Şevval Yıldız, Department of Internal Medicine, Recep Tayyip Erdogan University, Rize, Turkey, Email: [email protected]
This case report discusses a 74-year-old male patient diagnosed with recurrent pancreatitis associated with a CFTR heterozygous mutation. The patient presented with complaints of epigastric pain, and laboratory findings revealed elevated amylase and lipase levelsGenetic testing revealed a p.Phe1052Val (c.3154T>G) heterozygous mutation in the CFTR gene, which has been associated with recurrent pancreatitis through autosomal dominant inheritance. A cystic lesion detected in the pancreas (suggestive of IPMN or serous cystic neoplasm) was evaluated for malignancy and deemed low-risk based on PET-CT findings and a negative CA 19-9 level. This case is presented to emphasize that CFTR mutations should be considered in the differential diagnosis of patients with recurrent pancreatitis, that symptoms may present in adulthood, and that the diagnosis can be easily established through genetic testing.
CFTR (Cystic Fibrosis Transmembrane Conductance Regulator) is a gene responsible for Cystic Fibrosis (CF), playing a crucial role in chloride ion transport and the regulation of mucus secretion. Mutations in the CFTR gene impair chloride and sodium ion transport, resulting in the accumulation of thickened mucus and compromising the normal function of affected organs [1]. In the pancreas, CFTR mutations cause obstruction of the pancreatic ducts and impair the flow of pancreatic secretions. This condition results in the activation of pancreatic enzymes, which damage pancreatic tissue, leading to recurrent inflammation, fibrosis, and the development of pancreatitis. [2]. Additionally, this process can trigger both exocrine and endocrine pancreatic insufficiency. The role of CFTR mutations in pancreatitis can impact both the severity and the progression of clinical symptoms. Cystic fibrosis is typically diagnosed in childhood; however, in some cases, mutations with a milder course may lead to symptoms in adulthood. CFTR mutations can be associated with serious complications, such as recurrent pancreatitis, even in individuals who do not have a diagnosis of cystic fibrosis. A study has indicated that 43% of patients with idiopathic recurrent acute pancreatitis and 11% of patients with chronic pancreatitis carry at least one or two CFTR mutations [3]. This case is presented to discuss the relationship between genetic predisposition and clinical presentation.
A 74-year-old male patient has a medical history of chronic kidney disease, prostate cancer in remission following radical prostatectomy performed 15 years ago, and an ischemic cerebrovascular disease (CVD). He also had lobar pneumonia in 2018, which did not recur. The patient had previously been hospitalized 3–4 times at an external center for the management of pancreatitis. The patient, who is not infertile, has a family history of cystic fibrosis, with two grandchildren diagnosed with newborn screening tests. The patient has no history of alcohol consumption or tobacco use. The patient has no history of diabetes or hyperlipidemia and is not on any medications, including DPP-4 inhibitors or GLP-1 receptor agonists, that could account for the etiology of pancreatitis.
The patient presented with moderate pain in the right upper quadrant radiating to the back, without accompanying nausea or vomiting. On physical examination, there was epigastric tenderness, but no signs of guarding or rebound tenderness were observed. No hepatosplenomegaly was noted. Murphy’s sign was negative. Vital signs were as follows: blood pressure 159/78 mmHg, pulse 74 beats per minute, temperature 36.3 °C, and SpO2 97% on room air.
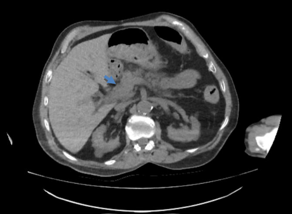
The patient’s oral intake was discontinued in the emergency department, pantoprazole was initiated, and 2000 cc of isotonic fluid was administered for hydration. Tramadol was used as needed for pain management. Laboratory results showed elevated amylase and lipase levels, a negative CRP and a creatinine level consistent with the baseline. Additionally, hypercalcemia and leukocytosis were not detected; the patient had normochromic normocytic anemia consistent with chronic disease anemia (Table 1). Abdominal computed tomography (CT) showed edema in the head of the pancreas, with no abnormalities detected in the bile ducts (Figure 1).
| Table 1: Laboratory findings. | |||
| Test | Value | Reference range | Evaluation |
| Serum creatinine | 2.84 mg/dL | 0.6-1.2 mg/dL | High (CKD) |
| Amylase | 896 U/L | < 100 U/L | High |
| Lipase | 1799 U/L | < 60 U/L | High |
| Ca | 8,6 mg/dL | 8,5-10,2 mg/dL | Normal |
| CRP | 0,8 mg/dL | < 5 mg/dL | Normal |
| WBC | 7750/mm3 | 4000-11000/mm3 | Normal |
| Hemoglobin | 10.1 g/dL | 13-17 g/dL (male) | Low (anemia) |
| MCV | 92.9 fL | 80-100 fL | Normal |
| Spot urine protein/creatinine ratio | 0.69 mg/mg | < 0.2 mg/mg | High |
| Triglyceride | 61 mg/dL | < 150 mg/dL | Normal |
| CA 19-9 | 14.4 U/mL | < 37 U/mL | Negative |
| IgG4 (serum) | 0.16 g/L | 0.03-2.01 g/L | Normal |
Figure 1: Edematous appearance of the pancreas on abdominal computed tomography.
The lipid panel requested as part of the etiological workup was evaluated as normal following admission. Magnetic Resonance Cholangiopancreatography (MRCP) identified a 13x10 mm septated, well-defined, T2 hyperintense lesion in the pancreatic uncinate process. The cyst was found to be non-compressive to the pancreatic duct. The lesion was interpreted as either an Intraductal Papillary Mucinous Neoplasm (IPMN) or a serous cystic neoplasm (Figure 2).
Figure 2: Cystic lesion on MRCP.
To rule out the possibility of malignancy, CA 19-9 was ordered, and a PET scan was planned. The patient’s CA 19-9 level was negative. Previous abdominal CT and ultrasound imaging from episodes of prior pancreatitis were reviewed, and it was found that the cystic lesion was not present until the magnetic resonance imaging performed six months ago.
IgG4 levels were tested to evaluate for autoimmune pancreatitis and were found to be within the normal range. Genetic analyses for CFTR mutation, as well as SPINK1 and PRSS1 mutations for hereditary pancreatitis, were requested for the patient, who has a family history of cystic fibrosis in his grandchildren. A chest CT was performed to differentiate any lung pathology consistent with cystic fibrosis. The CT imaging was reported as “thickened bronchial walls observed, with linear atelectasis noted in both lungs” (Figure 3).
Figure 3: Bronchial wall thickening on chest CT.
PET-CT
The PET-CT imaging was interpreted as follows: “A 12.3x7 mm nodular density with heterogeneous attenuation was observed in the anterior segment of the left upper lung lobe, with mildly increased F-18 FDG uptake (SUVmax: 2.5), suggestive of possible infectious or inflammatory changes. In the pancreatic body, a well-defined area with mild focal F-18 FDG uptake (SUVmax: 3.5) was observed, which may be secondary to previous pancreatitis. No typical pathological uptake indicative of a primary tumor was identified.”
Genetic testing results
Genetic testing of the patient revealed negative results for SPINK1 and PRSS1 gene mutations, while a p.Phe1052Val (c.3154T>G) heterozygous mutation was identified. This mutation has been classified as pathogenic in the ClinVar and Franklin databases and is associated with autosomal dominant inheritance of recurrent pancreatitis. Additionally, a heterozygous variant of p.Val470Met (c.1408G>A), classified as benign, was reported.
Treatment and follow-up
On the third day of hospitalization, the patient’s pain and enzyme levels improved, and he was subsequently discharged for outpatient follow-up. The patient was referred to the medical genetics department for further evaluation of the genetic results. According to the information obtained from the Medical Genetics department, “CFTR heterozygous mutations are associated with autosomal dominant inheritance of hereditary pancreatitis (OMIM number: 167800).” The patient was evaluated as consistent with this diagnosis based on the current clinical presentation and genetic analysis results.
Mutations in the CFTR gene are associated not only with the classic cystic fibrosis phenotype but also with milder and atypical presentations, such as pancreatitis [3]. CFTR mutation-related pancreatitis typically presents with recurrent episodic attacks, and in these patients, both exocrine and endocrine functions of Heterozygous CFTR mutations are widely accepted in the literature to follow an autosomal dominant inheritance pattern and are associated with recurrent pancreatitis. The p.Phe1052Val mutation identified in this patient suggests a genetic predisposition to pancreatitis.
The literature suggests that individuals with CFTR mutations may have an increased risk of developing pancreatic cancer compared to the general population [4]. However, in this case, the negative CA 19-9 level, the absence of malignant findings on PET-CT, and the benign characteristics of the lesion suggest that the lesion is benign. Pancreatic cystic lesions, particularly IPMN and serous cystic neoplasms, typically follow a benign course; however, due to the rare potential for malignant features, they require regular follow-up. The 13x10 mm lesion identified in this case has a low potential for malignancy, but follow-up is recommended.
Genetic analysis in patients with recurrent pancreatitis facilitates the identification of underlying genetic predispositions and contributes to the prediction of disease progression. Furthermore, genetic counseling and carrier screening in family members are of critical importance for the early detection of such genetic disorders. This case emphasizes that pancreatitis onset in adulthood may be associated with genetic predispositions, and CFTR mutations should be considered in the differential diagnosis.
Although this condition is typically diagnosed and detected at an early age, it emphasizes that patients with undiagnosed CFTR mutations may present at older ages, and that the CFTR heterozygous mutation plays a role in the etiology of recurrent pancreatitis. Genetic analyses play a crucial role in the management of recurrent pancreatitis episodes.
- Rowe SM, Miller S, Sorscher EJ. Cystic fibrosis. N Engl J Med. 2005;352(19):1992-2001. Available from: https://doi.org/10.1056/nejmra043184
- Ooi CY, Durie PR. Cystic fibrosis transmembrane conductance regulator (CFTR) gene mutations in pancreatitis. Gut. 2010;59(5):704-9
- Bishop MD, Freedman SD, Zielenski J, Ahmed N, Dupuis A, Martin S, et al. The cystic fibrosis transmembrane conductance regulator gene and ion channel function in patients with idiopathic pancreatitis. Hum Genet. 2005;118(3-4):372-81. Available from: https://doi.org/10.1007/s00439-005-0059-z
- Malats N, Casals T, Porta M, Guarner L, Estivill X, Real FX. CFTR gene mutations and the risk of exocrine pancreatic cancer. Gut. 2001;48(1):70-4. Available from: https://doi.org/10.1136/gut.48.1.70